白內障是最常見的眼疾,除青光眼及黃斑病變外,白內障亦是世界上致盲眼疾的最常見原因之一。然而,原來經由白內障手術,白內障是可以完全根治的。但是由於很多人對於白內障和白內障手術的認識不足,導致視力惡化及延遲就醫的情況,亦增加了日後手術的風險及治療效果。今次我們特別專訪了眼科專科醫生鄧維達醫生,讓大家對現今白內障手術有更深入的了解和認識。
簡單認識白內障手術是什麼?
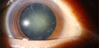
白內障是指眼球內的晶體混濁,導致視力不清,情況就如一部相機的鏡頭受損,不能拍出清晰的照片。如要改善視力,必須把渾濁液晶體清除,再植入-片人工晶片,藉着個人化的人工晶片選擇,不但能改善視力,更能達致減少近視、遠視、散光,以致治療老化的效果。
白內障手術前(左圖) 和後 (右圖)
眼科專科鄧維達醫生表示,現今的白內障手術,傷口較以往的手術大大縮小,以微創手術方式使用超聲波乳化技術,將混濁的晶體清除,再經由可捲曲的人工晶片植入眼內,手術便告完成。手術一般10至15分鐘左右,大部份可於表層局部麻醉(topical anaesthesia) 的方式進行,大多不需縫針或進行注射,讓手術過程更舒適快捷。
白內障手術 真係咁簡單?
鄧醫生指出,雖然白內障手術的成功率很高,但是病人對於進行眼部手術的擔心是可以理解的。所以詳細的術前評估,以分析眼睛狀況及風險評估、病人期望、工作和生活等視力需求,選擇最適合安全的手術方法及人工晶片等等是必須的。
在擔任九龍東聯網醫院副顧問醫生期間,鄧醫生負責主治很多複雜的白內障手術個案,有些白內障屬較高風險型白內障,如後極型白內障,伴隨細小瞳孔或前房狹窄的白內障,創傷性白內障,以及偏深至熟的白內障,手術出現併發症的機會較高,處理此類型白內障,讓富有經驗的醫生,配合適當的手術方法及儀器進行手術較為適宜。
例如後極型及較深白內障會較容易出現晶體後囊膜穿破,以致玻璃體外溢等併發症。伴隨細小瞳孔的白內障如曾患有虹膜炎的病人,手術亦需要使用特別方法或儀器(如用於擴大瞳孔的小勾或環),使白內障手術得以安全及順利完成。
那些特別情況有機會發生?
創傷性白內障亦會較大機會出現晶體移位及不能順利植入晶片的可能。有時亦需同時植入囊張力環/節(capsular tension ring/ segment) 以穩定人工晶體的後置。
(醫生病例) 創傷性白內障晶體移位(左圖)
(醫生病例) 白內障手術中植入囊張力節以矯正晶體囊移位(右圖)
此外,手術前亦建議進行角膜內皮細胞掃瞄,由於角膜內皮是維持角膜清晰的重要組織,內皮細胞亦沒有新增復原能力,如術前發覺出現細胞數量不足或退化情況,進行白內障手術時必須加倍小心,以盡量減少內皮細胞流失,及出現術後持續性角膜水腫的機會。
正常角膜內皮細胞 (左圖) ; 不正常退化內皮細胞(右圖)
如病人曾做過激光矯視手術,由於計算晶片度數會較一般情況複習,術後出現屈光不正偏差的機會亦會增加,所以術前晶片量度亦要較為小心。如出現嚴重屈光偏差,甚至要進行更換晶片的較高風險手術。
星sir替患者們提出一個疑問,人工晶片怎樣選擇才最適合?
由於每個病人的眼睛情況不同,工作和生活視力需求也不同,所以要就個人情況選擇合適的人工晶片。例如病人如患有較深的散光,而又希望術後不需眼鏡情況下有清𥇦視力,便需使用合適的散光人工晶片,以達到減少術後散光的情況。
又例如病人本身有三四百度近視,由於近視可扺消老花,有些人手術前是習慣除下眼鏡閲讀,如使用單焦晶片後而又減少了近視,則病人術後便需要使用老花或漸進眼鏡閲讀。所以這情況便需要考慮多焦晶片(即可同時改善老花的晶片)或在其中一隻眼術後留下百多二百度近視以減少術後老花症狀加深的情況。
多焦晶片亦有雙焦(遠近焦點)、三焦(遠中近焦點)及焦點範圍延伸性晶片,另外亦附有同時矯正散光的多焦晶片選擇,但多焦晶片並不是所有病人也適合使用,如患有較嚴重黃斑病變或青光眼等,單焦晶片會較合適。另外要留意多焦晶片,雖有效減少對眼鏡倚賴,但由於晶片的光學設計,會於夜間視物時,光源週邊會出現眩光現象,術後需要時間適應。醫生會就病人眼睛情況,工作及生活的習慣及視力需求等向病人建議合適晶片。
可有寶貴意見予確診患白內障人仕?
鄧醫生表示,隨著科技進步,白內障手術的治療效果較以往更佳,傷口更細,手術過程更舒適,及手術後康復更快。由於每個病人眼睛狀況不一,風險高低各異,生活習慣和視力需要,以致對術後效果及期望亦有所不同,所以術前詳細的評估和對病人的了解是必須的。
有關:
鄧維達醫生
白內障
的診療事宜有任何疑問
相關專業團隊隨時為你作解答安排
以上資料只供參考,不能作診症用途,
請與家庭醫生查詢並作出適合治療.
如身體不適請即睇醫生,切勿延誤治療。
如有錯漏請提出糾正,我們會盡快跟進,
本站恕不會負任何責任
白內障(Cataract)
是一種常見的眼科疾病,主要與晶狀體老化有關,隨著年紀增長,患病的機會亦會增加。不過,其他因素包括深度近視、長期在猛烈陽光下活動及工作、糖尿病以至藥物等,都有機會導致白內障,任何年齡的人士其實亦有可能罹患。
白內障手術前應注意
盡量不要化妝,使用香水,配戴首飾,若有活動式假牙,在進入手術室前應先行取下。手術前,要控制飲水的攝取量,進入手術室之前,最好能先上洗手間解小便。
白內障手術中應注意
手術過程中,患者不會有任何痛苦的感覺,因此應保持輕鬆心情,只需依照醫生指示,保持眼球固定方向。一般只需約15至20分鐘即可完成。
白內障手術後應注意
術後短時間內,盡量避免揉搓眼睛、提重物、不要令眼睛過度疲累,如突然感到疼痛劇烈、眼睛紅腫、有噁心嘔吐感,或視力突然下降等情形,應盡速告知相關醫護人員。
其他專業剖析
角膜移植是最常做的移植手術之一,最早期的角膜移植已有百年歷史,角膜移植的確為不少因角膜病變而導致失明的人重見光明。眼角膜共分五層,由面到底分別為表皮細胞層、前彈力層、基質層、後彈力層和內皮細胞層。

詳細內容
「飛蚊」是一種很常見的視覺障礙,一般是形容視覺上出現可跟隨眼睛移動而浮游的暗黑障礙物,形狀可呈點狀,線狀,網形,孤形或環形。嚴格來說,「飛蚊症」並不是一種眼疾,而是一種視覺上的不適症狀。

詳細內容